

股骨头坏死又称股骨头缺血性坏死,为常见的骨关节病之一。大多因风湿病、血液病、潜水病、烧伤等疾患引起,先破坏邻近关节面组织的血液供应,进而造成坏死。其主要症状:从间断性疼痛逐渐发展到持续性疼痛,再由疼痛引发肌肉痉挛、关节活动受到限制,后造成严重致残而跛行。
家住南通通州川姜镇的薛先生,今年已59岁,来我院时,明显能感受到他的疼痛,右腿一拐一拐的,使不上力。
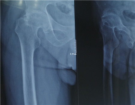
薛先生五年前无外伤诱因下感觉右髋疼痛,自己用药膏外敷、口服止痛药后,疼痛无明显好转,于是到当地医院就诊,拟诊为“腰椎间盘突出症”,给予骨盆牵引康复理疗,服用中药,疼痛并未缓解。一年前到南通市第三人民医院诊治,并给予抗结核治疗,关节结核是有好转,但右髋关节疼痛并未缓解。近半年来感觉右髋关节疼痛加重,僵硬,右腿变短,跛行,右腿也明显比左腿瘦小。
薛先生以及家属,感到病情愈发严重,经多方了解到南通中山骨科医院是一家大型专业骨科医院,为求进一步治疗,赶忙来到我院。

2月18日入院后,医务人员结合其病史,积极的完善了其他相关检查,初步诊断为右股骨头坏死、右髋关节骨性关节炎。根据薛先生的病情、影像资料及身体状况进一步明确诊断、排除手术禁忌症,经过详细的讨论及全面的评估后,科室制定了佳的治疗措施及手术方案。
2月21日上午八点,全麻的情况下,由胡玉华院长亲自操刀,为患者行右侧人工全髋关节置换术。由于患者家属的血型与薛先生都不匹配,我院丁荣清医生勇敢的站出来,为患者献血400ml。精神可嘉的他不顾献血后的疲劳,仍参与了手术,手术有条不紊的顺利结束。

术后,胡院长亲自查房,询问、检查患者恢复情况,指导患者坚持双下肢抬高锻炼,预防股四头肌萎缩,并嘱咐病人患肢继续保持外旋外展位。薛先生以及妻子满是感激的紧紧的握着胡院长的手:“感谢您,让我今后又像常人一样行走了!”
胡院长科普
什么是髋关节置换术?
髋关节置换术或全髋关节置换术是用人造髋关节置换所有或部分髋关节以重建关节运动功能的一种修复手术。人工关节置换术是用生物材料或非生物材料制成关节假体,植入人体替代病损的关节结构的一类手术方法,其目的是消除疼痛,矫正畸形,重建一个稳定的关节而恢复和改善关节的运动功能。
您目前的情况是?
关爱骨病患者・我们在行动


